深覆盖 VS 深覆合如何区分?这一篇看完就都明白了
深覆盖 VS 深覆合,如何区分?
共同点:深覆盖和深覆合都是咬合情况异常的一种,是临床上较常见的错畸形。
区别:从位置关系上即可明确区别:深覆盖和深覆合,是评价上下前牙在不同方向上位置关系的指标。
深覆盖——水平距离过大,是前后的关系深覆合——垂直距离过大,是上下关系
像这样

那么具体怎么样叫深覆盖、怎么样叫深覆合,这类错畸形对我们有什么影响呢?我们先来看看比较容易被大家发现的深覆盖。
深覆盖
深覆盖是指上前牙切端至下前牙唇面的最大水平距离超过3毫米。也就是上颌前牙比下颌前牙向前突超过3毫米就是深覆盖。
是指水平距离过大,是前后的关系,简单点说,就是我们俗称的龅牙,分为牙性与骨性。

深覆盖形成原因:
1、不良习惯
2、替牙或萌牙的局部障碍
3、远中阶梯
4、口呼吸
5、佝偻病等全身疾病或钙磷代谢障碍
6、遗传因素

一个真人演示:

一般牙齿有深覆盖(龅牙)的小伙伴,平时笑起来都会有点拘束,或者不自觉遮住嘴巴。

可以清楚看到,笑的时候她的牙齿很突出,看上去门牙很大。

从侧面分析一下就能看到,上切牙很突出,与下牙的距离超出了 3 毫米,看上去牙齿就很翘,表现出来就是龅牙。而正确咬合的牙齿是不会过度唇倾(往嘴唇方向外翘)的。
深覆盖最直接的影响就是我们的颜值。有深覆盖的小伙伴侧貌往往不会很好看。
幸好,大部分的深覆盖小伙伴都能正畸治疗解决:
这个女生,矫正前,几乎要飘出来的上前牙十分抢眼,侧面看,几乎没有下巴,也不符合审美 E 线。
矫正后,下牙列排齐整平,深覆盖解除,改变了龅牙的情况。


矫正后,女生正面微笑弧线自然,笑容甜美。侧貌曲线完美,上下唇均位于审美E线后方,堪比明星般侧貌,颜值大大提升。
深覆盖常见的矫正方法?
前牙深覆盖的患者一般伴有上牙唇倾的状况,有时还有牙列拥挤,所以为了减少覆盖,消除拥挤,前牙后移,矫正磨牙关系往往需要拔牙提供间隙。
深覆合
深覆合是一种上下颌牙弓和(或)上下颌骨垂直向发育异常所致的错颌畸形。如果上牙包住下牙的范围超过了 2~3 毫米就是深覆合。是指垂直距离过大,是上下关系。
像这样



深覆合形成原因:1、遗传因素 2、全身因素 3、局部因素

一个真人演示:

很多人认为,我牙齿很整齐,我没有龅牙没有虎牙,我就不需要矫正了。那现在看看,你的咬合是否有问题。图中这个妹砸就是这样,拍摄前她还说,自己的牙没有问题。

当她咬上牙齿,就能发现问题了。这种咬合是典型的深覆合,上牙盖住下牙超过了 1/3 。
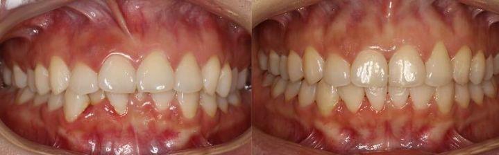
就像这个女生矫正前微笑时看上去没什么大问题,但是仔细看她的口内情况,就会发现她有明显的深覆合。

矫正前 VS 矫正后
经过一年多的矫正时间,女生牙齿排齐,深覆合明显的改善,也不再因为牙齿不美观,而不敢开怀大笑。

矫正前 VS 矫正后
而且深覆合,不止美观有问题,还会影响口腔健康。导致不正常的咬合关系,大多数人还会出现磨牙的症状,影响我们的口腔健康。
长期还会造成上下颌前牙创伤,会影响上牙前牙的使用寿命,重要的是对关节很不好哦!

颞下颌关节
对比深覆盖,深覆合其实更不容易被发现。
大部分人只有在大龅牙、牙齿超级乱的情况下意识到牙齿有问题需要矫正,看完这个科普,现在拿出镜子看看自己的牙齿是不是有深覆合的情况吧!
深覆合有哪些常见的矫正方法?
出现深覆合的情况应当尽快矫正,临床上几种常见治疗深覆合打开咬合的工具有,平导 摇椅弓、橡皮筋、支抗钉等,可以改善纠正上下颌及牙弓关系。

发现自己有深覆颌/深覆盖怎么办?我不知道自己的牙齿是属于哪种?我的牙齿需要矫正吗?别慌!

出现深覆合、深覆盖的情况时也不必过度惊慌可以通过牙齿矫正来改善牙齿矫正不仅仅是排齐牙齿更是纠正不良咬合关系恢复牙齿的正常功能和状态也能在一定程度上改善由于牙齿问题导致的面型问题哦 ~(免责声明:部分图片、内容来源网络,如有侵权请联系删除。)


还没有内容