比细小更可怕的传染病:看似毫不起眼的犬瘟热,却带走无数生命
养犬困扰多,还看磁石说~
若问养犬过程中最担心的问题是什么,相信有一半的犬主的答案都会是害怕生病;而问到最怕狗狗得什么病的时候,估计答案亦会统一的是犬细小病,这对幼犬几乎是“绝症”的传染病。

但是,你知道吗,有一种远不如犬细小“出名”的传染性疾病比犬细小的危害还要严重深远,那就是犬瘟热。
“致命病毒”:犬瘟热犬瘟热(CDV)属于副黏病毒科、和人类麻疹病毒为同属,是一种单链RNA病毒,在临床上犬瘟热是一种具有急性、高传染性的病毒性疾病。
该病具有高度交叉感染性与较多的并发症,幼犬致死率极高,所以很多主人一得知自己的狗狗患上犬瘟热之后就以为自己的狗狗已经患上绝症、命不久矣,闻“犬瘟”而色变。

犬瘟热病毒不受季节性的影响,一年四季皆可传播,高发于偏寒冷的10月到次年的4月份。该病和流感一样具有周期性,一般三年出现一次大流行性传播,各年龄段犬均可感染,但主要患病犬为未经过免疫的幼年犬。

传播途径
犬瘟热病毒的传染源为患病犬只的眼鼻分泌物及尿液,可以通过患病犬与健康犬的接触直接转播,也可通过空气飞沫来进入消化道传播。
犬瘟热治愈难度大,越早治疗控制的概率越大,但是到了发病的中后期才开始治疗则难以治愈。

犬瘟热根据不同的症状可分为四个类型:消化道型、呼吸道型、神经型及皮肤型,在临床上需要进行综合考量。
▶消化道型:
消化道型犬瘟热又被称为胃肠型犬瘟热。患病犬只往往食欲不佳甚至拒食, 出现呕吐及流涎症状, 其口腔及舌头出现溃疡, 大量饮水; 病犬排出有明显血腥臭的带血粪便, 如果病情严重可能会排出类似于高粱米汤的血便,极度消瘦, 迅速脱水。

▶呼吸道型:
病犬的典型症状为打喷嚏、 偶尔出现咳嗽、 张口呼吸, 呼出具备明显恶臭味的气体, 其鼻镜干燥, 鼻腔内不断排除淡黄绿色的脓性鼻液。
如果病情严重, 病犬可能出现呼吸困难及胸腹式呼吸情况; 一些病犬伸颈呼吸或用爪挠鼻子, 对其进行肺部听诊可以听到湿性啰音与捻发音

▶神经症状型
一些病犬在感染初期即出现神经型症状, 另有一些病犬首先出现消化道及呼吸道症状, 待7~10天才开始出现神经症状。
发病初期病犬的口唇及眼睑部位抽搐, 如果病情严重则出现流涎空嚼或疯跑、冲撞、转圈、盲目运动或者牙关紧闭、口吐白沫及倒地抽搐的症状。
一些病犬可能一肢、两肢或整个后驱均出现抽搐麻痹及共济失调等各种神经症状, 即使治愈也常常留下肢体麻痹或后躯无力等后遗症。

▶皮肤型
皮肤型犬瘟热一般较为少见,病犬往往出现足垫及鼻镜角化的症状; 一些病犬的足垫可能先肿胀, 接着增生、角化, 最终形成硬脚病。

由于犬瘟热病毒症状多样、变化频繁,对于犬瘟热的诊断我们需要从血液学、病毒学、影像学等多个方面的检测来入手。
▶血液学:
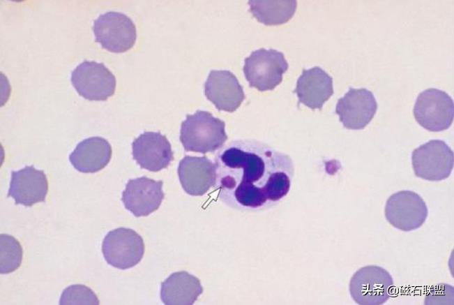
淋巴细胞减少、随后出现嗜中性粒细胞增多(与细菌性并发症有关,如肺炎等);循环性淋巴细胞、单核细胞、嗜中性粒细胞中极少见到犬瘟热病毒包涵体。

▶影像学
感染犬瘟热的狗通常会出现间质性肺炎,从而导致继发性细菌性支气管肺炎和肺泡、肺叶病变,通过胸腹部X光片可以看出。

▶病毒学
病毒学检测即是我们最经常看到的测试版,犬瘟热试纸是一种简单快速的判别方法, 它利用特殊的显色反应, 能较快地测出犬瘟热病毒, 一般需要5~10分钟即可判别一只犬是否受到犬瘟热病毒的感染。

但是,由于犬瘟热具有一定的潜伏期和排毒期,如果出现犬瘟热的症状但是试纸呈阴性则需要做进一步的检查来进行诊断。
犬瘟热的治疗虽然犬瘟热的治愈率低,但是我们仍不能放弃希望,一旦发现苗头需要及早治疗,能有效提高治愈率。
治疗方法:
对于犬瘟热目前没有针对性的抗病毒疗法,所以临床上一般是进行对症治疗与支持疗法,在治疗时需要将患病犬隔离,以防传染。

对症治疗:
一旦发现犬瘟热病, 立马对其进行隔离, 发病早期用高免血清、免疫蛋白和单克隆抗体等做好被动免疫工作。随后采用一些抗病毒药物, 如头孢、双黄连、地塞米松等, 或采用静脉注射的方法进行治疗。
此外, 还可根据病犬血型进行相应的输血治疗, 配合使用一些抗感染的药物来加速愈合, 防止出现脱水危及病犬生命;犬瘟病晚期的病犬一般会出现神经症状。

支持疗法
所谓支持疗法是在患病犬呕吐腹泻不止时进行能量维持与电解平衡的输液,来保证患病犬的正常生理机能,激发身体求生欲。

犬瘟热一旦错过最佳治疗时间极易导致病犬死亡。因而,在对其进行治疗的过程中, 首先要保证诊断的准确性, 接着通过特异疗法、对症治疗、防止继发感染及补充营养等提升该病的治愈率。
如何预防犬瘟热相信能够坚持看到这里的朋友们一定已经被犬瘟热的“恐怖”所吓到,那么我们该如何预防犬瘟热病毒,让“黑色的镰刀”远离我们的爱犬呢?
保证免疫完全
这是最重要,也是最有效的办法,那就是注射疫苗。虽然犬瘟热高感染度、高致死率,但是只要您的爱犬拥有足够的抗体,那么它就是一个“纸老虎”,无法侵入狗狗的免疫系统。
所以我们需要给狗狗健全的免疫、初次免疫需要打满三针疾病疫苗,此后每年可做抗体测试然后再选择是否补种。
相比于动辄几千的治疗费用与无法预知的治疗结果,免疫的成本实在是太划得来了。

选择良犬
在挑选一只狗狗的时候,最好是选择正规、有资质的机构或者犬舍,并且尽量避免购买3个月以下的小狗;那时的狗狗免疫力低下,疫苗没有注射完全,很容易因为环境的改变、主人的忽视而感染上传染性疾病。
所以我们不仅需要挑选一只健康、活泼,口耳鼻无异物的狗狗,同时也要注意其犬舍其他狗狗的身体状况。

做好家庭环境的消毒
犬瘟热可通过空气传播、人类触摸其他的狗狗携带传播,所以我们也需要经常对家里的环境进行消毒、清理。
可使用杜邦卫可溶液喷洒、擦拭狗狗的活动区域,等到气味散去即可将狗狗放回原处,以此来净化家庭的环境,隔绝病毒。

未雨而绸缪,防范于未然
只要正确认知犬瘟热、不惧怕、不逃避、积极预防,就能将它挡在我们的家门外,不让它侵扰我们的宝贝。


还没有内容